犬の心臓病
ペットの高齢化に伴いワンちゃんの心臓病が非常に増えています。目立った症状が無くても心臓病になっている場合も多く、気付かずに病気を進行させてしまう事もあります。病気はもちろん早期に見つけて治療してあげた方が長生きできますので、是非このページを参考にしてください。
心臓病の症状
心臓病が進行すると咳、疲れやすくなる、浮腫、腹水、失神、呼吸困難、突然死などの症状を示すようになりますが、初期にはあまり症状がありません。しかし、ほとんどの心臓病で初期から心雑音というものが出てきます。心雑音は聴診器を使って検査すればすぐに分かりますので予防接種の時や検診の時など定期的に聴診を受ける事が重要です。
心臓の検査
一番重要な検査は聴診を含む一般身体検査です。ほとんどの場合でこの段階で心臓病があるかどうか判断します。心雑音があれば心臓病の存在が疑われますし、心雑音が無ければ心臓病の可能性が低いと判断します。
(※心雑音の出ない心臓病もありますし、病的でない心雑音も存在します)
心雑音が検出された場合は心臓のレントゲン・超音波検査による画像診断を行ってどのような心臓病なのか?どの程度の重症度なのか?を調べます。
正常犬のレントゲン
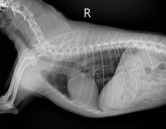
心拡大のレントゲン
僧帽弁閉鎖不全症(超音波検査)
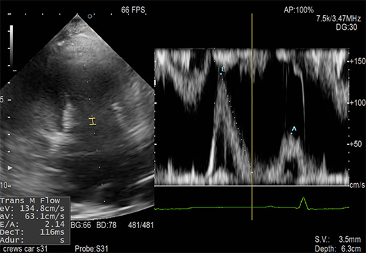
血流速度の測定(ドップラー検査)
心臓に影響するようなフィラリア感染の有無、代謝性疾患や特に腎臓の機能を調べるのに血液検査を行う場合もあります。高齢の場合には一般的な血液検査をお勧めします。
心臓病の種類
先天性の心奇形や、フィラリア症、心筋症などありますが、最も多いのが弁膜症、特に僧帽弁閉鎖不全症という病気です。(昔はフィラリア症もかなり多かったですが)
僧帽弁閉鎖不全症
僧帽弁は左心房と左心室の間にある弁で、血液が一定の方向(左心房→左心室→大動脈)に流れるように働いています。僧帽弁閉鎖不全症とは、この弁が完全に閉鎖せず、血液の一部が左心室から左心房へ逆流してしまう状態をいいます。この逆流が心雑音として聴診でみつかります。
病気の初期には心雑音以外の症状はありませんが、進行すると心拡大が起こり咳が出たり、疲れやすくなります。さらに進行すると肺水腫をおこし咳や呼吸困難に陥り死亡してしまいます。
マルチーズ、シーズー、キャバリア、ポメラニアン、チワワなどの小型犬では僧帽弁閉鎖不全症の発生が多いので注意が必要です。
治療について
僧帽弁閉鎖不全症についてはガイドラインが広く知られていて、重症度判定とそれに応じた治療指針が提唱されています。その中で投薬による治療対象となるのは、僧帽弁閉鎖不全症により心臓に明らかな拡大が認められる場合です。心臓の拡大はレントゲン検査と心エコー検査で判定します。薬を飲むことで病気自体が治るわけではありませんが、時期を見定めてしっかりと投薬治療を開始することで病気の進行を遅らせ、延命することが可能です。
また、病気自体を治す目的で最近では手術も普及してきています。心臓手術は専門病院への紹介となりますが、検討される場合にはご相談ください。









